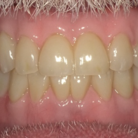
Maintain optimal oral function and aesthetics with All-on-X same-day teeth replacement. Using state-of-the-art technology, this treatment replaces traditional dentures, which can often be uncomfortable, inconvenient, or poorly fitted. All-on-X helps turn difficulties with chewing and speaking into a thing of the past.
By using four to six dental implants to support a full arch restoration, your doctor can provide a stable, functional, and natural-looking solution. In many cases, your new teeth can be placed the same day as your implants, so you don’t have to wait to enjoy your restored smile.
We custom-make our prosthetics in-house to ensure your smile is crafted to fit your unique needs and lifestyle.





