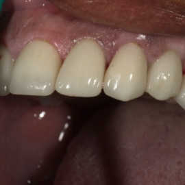
An implant is a synthetic tooth root in the shape of a post that is surgically placed into the jawbone. The “root” is typically made of titanium, a material commonly used in medical implants and well-suited to bonding with human bone. A replacement tooth is then attached to the post, either permanently or as a removable option. Permanent teeth are more stable and feel more like natural teeth.
The ideal candidate for implants is a non-smoker with good oral health, including sufficient jawbone and healthy gums without signs of gum disease.
Implants are also very versatile. If you are missing one tooth, a single implant and crown can restore it. If multiple teeth are missing, a few strategically placed implants can support a bridge. For those missing all of their teeth, a full bridge or denture can be securely supported with implants.



Occasionally, the ideal areas for dental implants do not have enough bone or tissue to properly support them. In these cases, it may be necessary to graft bone or tissue from another area of your mouth to strengthen the site.
When a tooth is removed due to infection, it is common for bone loss to have already occurred around the area. In these situations, bone grafting can often be performed at the same time as the extraction to help prepare the site for a future dental implant.
Often the sinuses will enlarge following loss of the upper back teeth. This can preclude placement of dental implants in the upper back areas of the mouth, since the sinus is an air-filled space and dental implants need to be surrounded by solid bone.
A sinus lift augmentation/graft is a surgical procedure that restores the sinus cavity to its original size, and replaces the bone that has been lost as a result of the enlarged sinus. This new bone graft typically takes nine to 12 months to heal before the dental implants can be placed into the grafted bone.
We have special software on our computer that allows us to evaluate your dental CT scan in three dimension model of your jaw for bone quality, bone quantity, and bone location, enabling the best possible placement of your dental implants.
We can even design a prototype of your new smile all on the computer. This also allows us to work closely and smoothly with by visualized the ideal end result before we even begin treatment.